
A New York Times article on dental X-rays, nytimes.com/2016/07/26/upshot/you-probably-dont-need-dental-x-rays-every-year.html, generated many questions from our patients. Read an exchange between a CitySpireDental patient and Dr. Andrew Koenigsberg, which addresses that question.
Patient RK-
What do you think of this article, “You probably don’t need dental x-rays every year?” I’ve wondered about it before. Thanks! RK
Dr. K–
Hi RK. I had seen this article and find it interesting for several reasons.
The way the conversation starts, the hygienist asks the patient if they would like to take x-rays since it is a free service. This question is what is wrong with a lot of our health coverage where need, benefit, cost, risk are decoupled.
In our office, every patient has an individual schedule of X-ray frequency for bitewings, Panorex and other x-rays. That schedule is based on each patient’s individual risk/benefit profile. We do not decide to take X-rays based on insurance coverage.
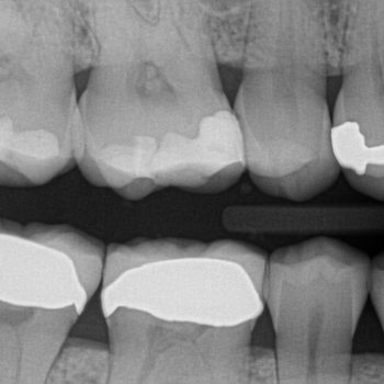
Bitewing X-rays are taken primarily to identify decay between the back teeth. This may be new decay or decay under existing restorations. Decay rarely causes pain, (until it is so extensive that the nerve is infected and root canal treatment is necessary). Our goal is to find decay early when it can be treated with a simple filling or crown. This is the same reason we take a stress test to check for clogged heart arteries before there are symptoms. Often, by the time there are symptoms, the disease is more serious and harder to treat.
You have restorations on almost every back tooth, which puts you at higher risk for decay, hence the once a year bitewings. We don’t take X-rays of the front teeth to check for decay because the teeth are thinner and can be checked visually.
I hope this makes sense.
Regards,
Andy
