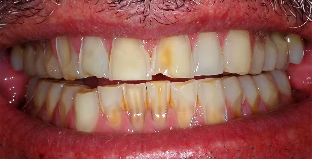
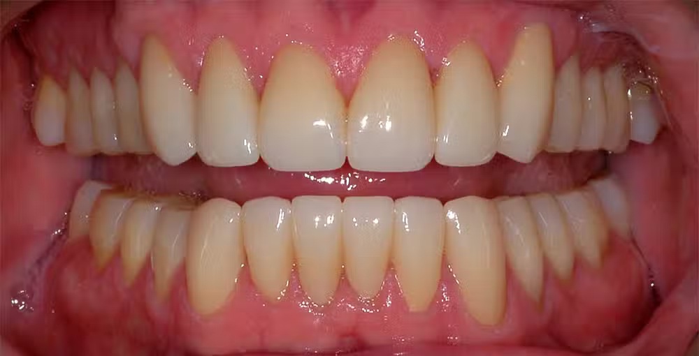
Case ID: 10459
Individual results may vary.
Case Details
12 Crowns. 6 upper and 6 lower, along with some gum line plastic fillings. This was done in two visits, two weeks apart, limiting the amount of time this patient had to wear temps. The first visit was 4 1/2 hours and the second visit was 3 hours.
View Angle: Front


