Case ID: 10455
Individual results may vary.
Case Details
8 all porcelain crowns to replace 30 year old porcelain fused to metal crowns. 2 visits.
One 2 1/2 hour and one 1 1/2 hour visit.
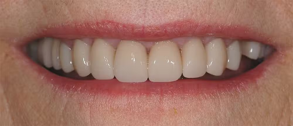
View Angle: Front
Individual results may vary.
8 all porcelain crowns to replace 30 year old porcelain fused to metal crowns. 2 visits.
One 2 1/2 hour and one 1 1/2 hour visit.
View Angle: Front

Before

After
©2026 CitySpireDental. Designed and Managed by ViziSites. Terms of Use. Website Accessibility.

Gallery57Dental has officially rebranded as CitySpireDental. Our name has changed, but our commitment to exceptional care and cutting-edge technology remains exactly the same.