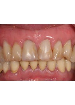
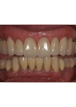
Case ID: 7386
Individual results may vary.
View Angle: Front
Individual results may vary.
View Angle: Front

Before

After

Before

After
©2026 CitySpireDental. Designed and Managed by ViziSites. Terms of Use. Website Accessibility.

Gallery57Dental has officially rebranded as CitySpireDental. Our name has changed, but our commitment to exceptional care and cutting-edge technology remains exactly the same.