Same Day Crowns & Veneers in NYC & Midtown Manhattan

Same-Day Veneers
Single visit dentistry reinvents the experience of dental care. Whether you are being treated for tooth decay or wish to enhance your smile, the latest in dental technology enables us to achieve the best results quickly and comfortably. Our office uses the CEREC system make restorations that used to take from 2 to multiple visits, done now in just a couple of hours! Call 212.246.8700 today to consult our experienced dentists and learn whether you are a candidate for Same-Day Veneers!
What To Expect during your visit
Here’s how it works: After the tooth is prepared a digital scan is made to create a virtual 3-D model. The restoration (either a crown, veneer, inlay or onlay) is then designed and sent to our in-house lab, Same Day Ceramics and milled out of a ceramic block specifically selected to match your tooth color.
While it mills, you can relax in our private treatment rooms, while our in-house laboratory creates the perfect restoration. The restoration is tried in to ensure it fits properly and is adjusted if needed. Once it feels comfortable, it gets bonded into place. All it takes is a single visit and you’ll leave with a healthy, confident smile every time.
Benefits of Single Visit Dentistry
- Same day service for most fillings and crowns
- Multiple teeth treated at the same time
- No more second injections, messy impressions and temporaries
- Precisely fitting, esthetic restorations created in our in house ceramics lab
Who is a Good Candidate for Same Day Veneers?
Same-day veneers are a solution that is not a one-size-fits-all treatment. The best candidates for this type of veneer are people who have:
- Good oral hygiene
- No tooth decay or gum disease
- A healthy bite
- Realistic expectations about the results of the treatment
Contact us to see if you are a candidate!
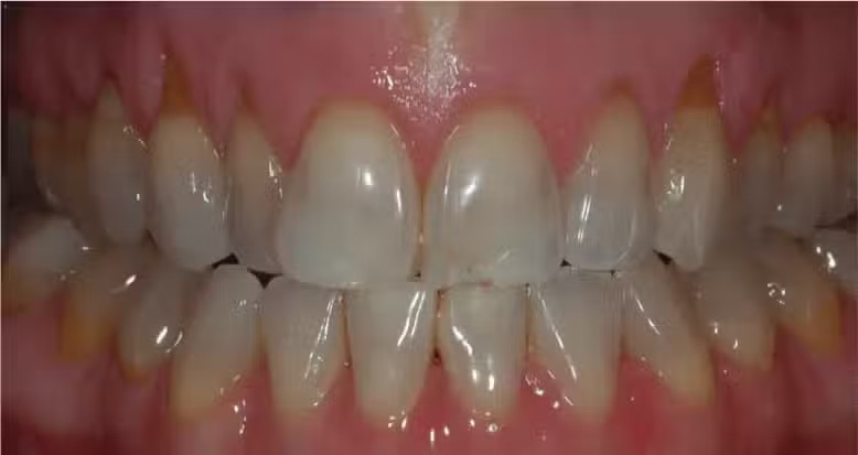
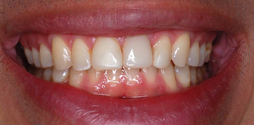
Same Day Crowns & Veneers Before & After Photos
Frequently Asked Questions
What problems can same-day veneers fix?
Same-day veneers are a versatile solution that can fix several different cosmetic dental problems. Some of the most common issues that same-day veneers can address include:
- Gaps between teeth
- Crooked teeth
- Discolored or stained teeth
- Worn down teeth
- Chipped or cracked teeth
If you are unhappy with the look of your smile, your dentist may suggest same-day veneers to you and talk to you about the many benefits they provide. Alternatively, some patients might consider other solutions, such as composite resin bonding, also referred to as dental bonding, or the placement of full, porcelain dental crowns. Speaking with a provider is the best way to determine if you are a good candidate for veneers and if they can help disguise the imperfections in your smile that bother you.
Are same-day veneers permanent?
No, same-day veneers are not a permanent solution. They are designed to last many years, but they will eventually need replacement. The average lifespan of veneers is about 10 years, but they can last several decades depending on the individual and how well they take care of their teeth.
To ensure your veneers last for as long as possible, be sure to practice good oral hygiene habits and visit your dental provider regularly for necessary check-ups and cleanings. Additionally, you should avoid biting or chewing on hard objects, which can damage the veneers. With proper care, your porcelain veneers will give you a beautiful smile that lasts for many years.
Will veneers increase my risk of cavities?
No, having veneers will not increase your risk of cavities. Veneers are made of solid and durable materials that resist staining and wear. They are also bonded securely to your natural teeth. However, it is important to look for early signs of cavities or disease since cavities can still occur under veneers if not properly cared for. Practicing good oral hygiene habits and regular check ups are the best ways to maintain them.
Does insurance cover same-day veneers?
Most dental insurance plans do not cover what are known as cosmetic or “elective” dental procedures like same-day veneers. However, some plans may cover a portion of the cost if the veneers are placed to correct a functional problem, such as fixing a misaligned bite. If you are considering veneers, be sure to check with your insurance provider to see if they offer any coverage for the procedure before visiting the team at CitySpireDental to talk about these aesthetic options.
Do veneers stain?
No, veneers do not stain. This is because veneers are made of strong, durable materials that resist staining and wear. However, veneers can break, so you should avoid biting or chewing on hard objects, which can damage them.
How is a same-day procedure for crowns or veneers performed?
After a thorough examination and diagnosis, one of our dentists will prepare the tooth for the crown by removing tooth structure from the top and sides of the tooth. Then, instead of goopy impressions, we instead take a series of high-definition digital images that are used to create a 3D model of your tooth in our Computer-Aided Design/Computer-Aided Milling (CADCAM) system. While you wait in our comfortable dental chair, the scan is sent to our lab to be custom designed to fit your mouth.
The milling machine then takes a solid block of dental-grade porcelain and mills the tooth precisely to the specs of our design. We then check the color match and fit, and once you are satisfied, we cement the new, beautiful porcelain crown onto your tooth.
Recovering After Receiving Crowns or Veneers
There’s no recovery time afterwards, no need for a temporary, no second injection at a second visit, no waiting for an outside lab to make the restoration, and no gooey impression!
Patient Testimonials
Do same-day crowns hurt?
The process of preparing your tooth for your same-day crown is the same as for any crown. Prior to shaving down the tooth to make room for the crown, we locally numb the tooth so you don’t feel a thing. Placing the crown onto your prepared tooth is painless, as well.

When to Eat After You Get Your Same-Day Crowns or Veneers
There isn’t any delay. We place our crowns and veneers with permanent dental cement which bonds immediately. Just be sure to wait until the numbness goes away!
How Long do Same Day restorations Last?
Our porcelain restorations created in our In-House Lab are every bit as durable and resistant to staining and damage as crowns created in a dental lab. They can can last 10-20 years or longer.
The key is the home hygiene you provide. While the restoration itself cannot get a cavity, the underlying natural tooth can. Plus, if you chew ice, bite your fingernails, or gnaw on bones, these habits put extra pressure on your crown and can shorten the lifespan. With proper care, they can last for many years!

Call CitySpireDental for same-day veneers & dental crowns!
To learn more about our Same-Day Veneers and Dental Crowns, call us at 212.246.8700 to schedule a consultation. Or, you can fill out the form in our contact page by clicking here. CitySpireDental is proud to serve Manhattan and the surrounding areas of NYC.
Featured Services















