Robert Rawdin

Robert C. Rawdin, D.D.S., F.A.C.P.
Dr. Robert C. Rawdin obtained his Doctor of Dental Surgery degree from Northwestern University School of Dentistry. He completed a general practice residency at Booth Memorial Hospital and received advanced, postdoctoral education in prosthodontics at New York University. Dr. Rawdin has been providing prosthodontic (cosmetic and restorative dental services) to area residents in New York, NY, since 1986.
Board-certified, he is a Diplomate of the American Board of Prosthodontics and a Fellow of the American College of Prosthodontists.
Since becoming an owner and partner in 2017, Dr. Rawdin has played an integral role in continuing the legacy of Gallery 57 Dental, a practice established in 2004. His more than four decades of experience in New York City dentistry reflect a long-standing dedication to clinical excellence and patient-centered care.
A lifelong New Yorker, Dr. Rawdin was raised on Long Island and completed his dental education and advanced prosthodontic training in New York. He has proudly practiced in Manhattan for over 40 years and values serving a discerning patient community that seeks the highest level of dental care. He has also remained actively involved in organized dentistry throughout his career, reflecting his ongoing commitment to leadership, education, and excellence in the field.
Dr. Rawdin is a Fellow (and recent past president) of the Greater New York Academy of Prosthodontics, and Northeastern Gnathological Society Academy of Multidisciplinary Dentistry, for which he recently served as president and program chair, and is now an executive board member. Dr. Rawdin has served as secretary, treasurer, and president of the Scarsdale Dental Society.
Dr. Rawdin is a public lecturer and published author. He is a former clinical assistant professor at NYU College of Dentistry in the Department of Prosthodontics and Occlusion and the Advanced Education Program in Prosthodontics.
Dr. Rawdin has been listed in “Best Dentists in America” and “American Research Council Top Dentists” and voted “Best Dentist in Westchester” by Westchester Magazine (although he now practices exclusively in New York City). He is a member of the New York State Dental Society, the American Dental Association, The American College of Prosthodontists, the Greater New York Academy of Prosthodontics, and the Academy of Osseointegration.
Above And Beyond Cosmetic Dentistry
Dental treatment by a board certified prosthodontist goes beyond creating pretty teeth. The care, skill, and expertise of Dr. Robert Rawdin is dentistry that can change someone’s life. Comprehensive esthetic restoration and replacement of teeth with a focus on achieving ideal overall health, dental health and optimum function – that is what you can expect from a recognized expert in prosthodontics.
Dr. Rawdin has always been drawn to dentistry for its unique balance of science, artistry, and hands-on precision. He finds the greatest fulfillment in transforming smiles and improving oral health in ways that can have a lasting impact on a patient’s confidence and overall well-being.
His interest in the connection of dental and overall health has led him to become a dental sleep medicine expert, custom fitting dental appliances for those who suffer from sleep disorders. Studies show this type of therapy can be life-saving.
Dr. Rawdin brings his passion, dedication and excellence in dentistry to every patient. With many more years of training than a general dentist, Dr. Rawdin brings his artistry, commitment to constant learning, warmth, and humanity to this specialty he loves. As a patient, you will benefit from his technical expertise and aesthetic vision, whether you need simple or complex dental care, based on an individual, customized treatment plan.
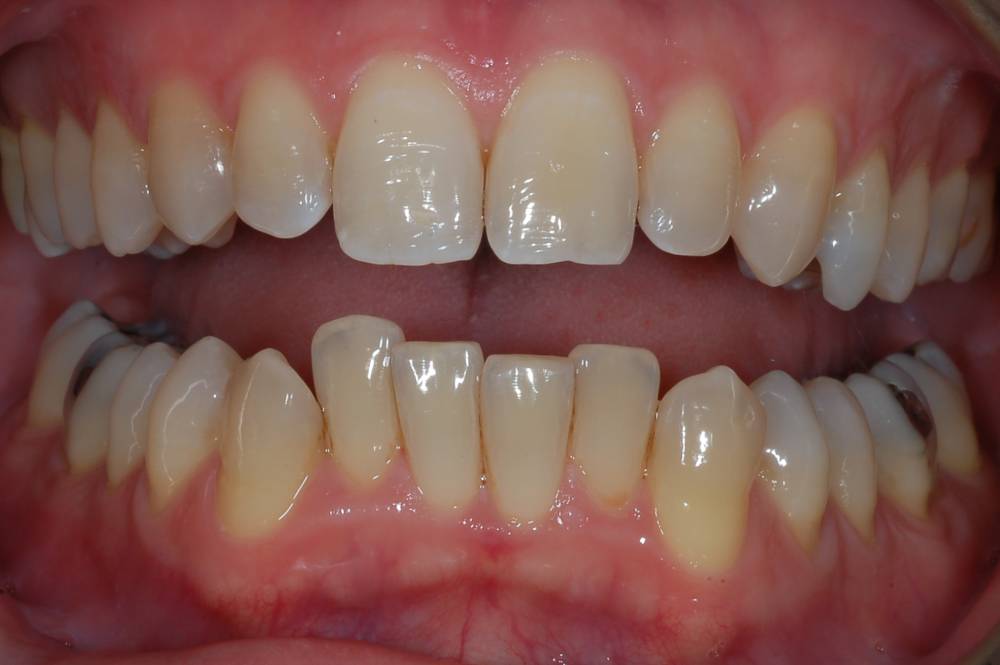
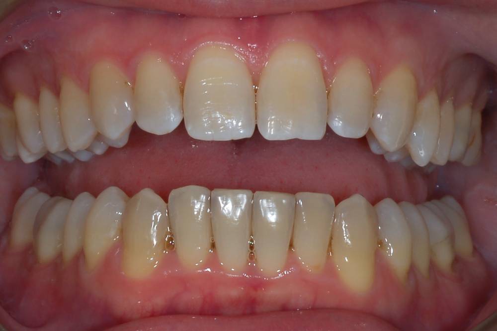
Dr. Rawdin’s work is centered on cosmetic dentistry and complex full-mouth rehabilitation, where his goal is to create results that are both highly aesthetic and naturally functional. He embraces advanced technology and collaborates closely with a fully digital, in-house laboratory team to deliver precise, customized outcomes.
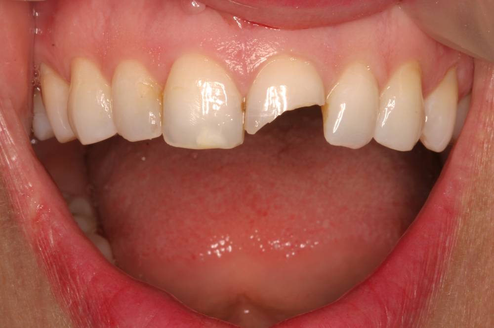
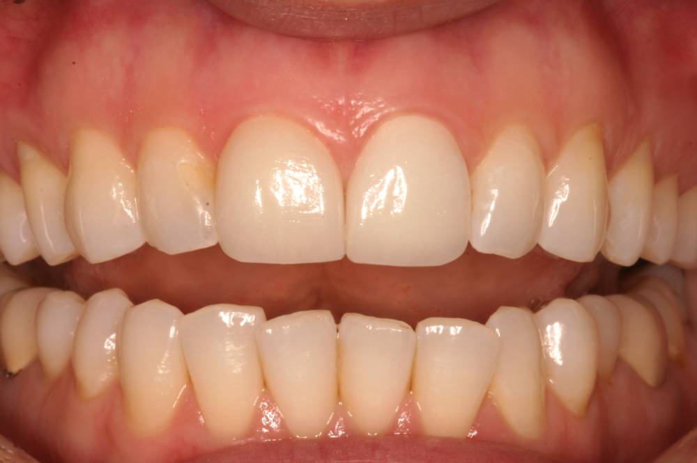
Dr. Rawdin can make your smile shine with teeth whitening services, straighten crooked teeth with the help of Invisalign braces or veneers and repair lost or broken teeth (usually in one day)! He and the staff at CitySpireDental can help you improve your smile and make you want to show it off every chance you get.
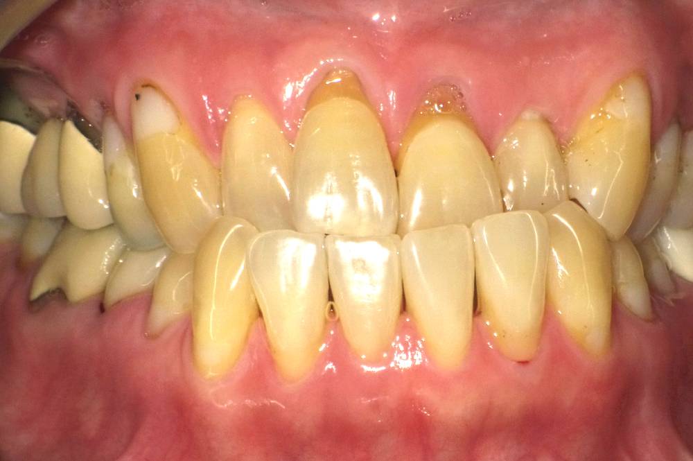
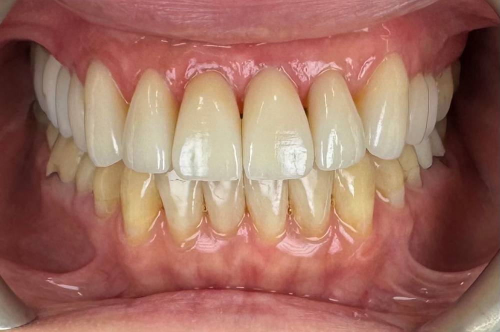
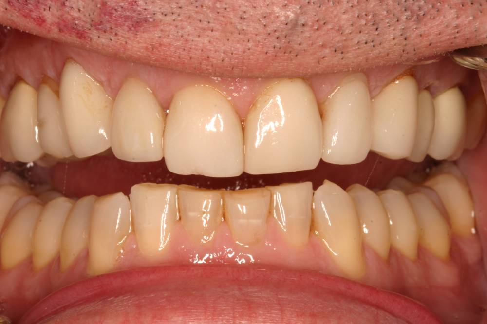
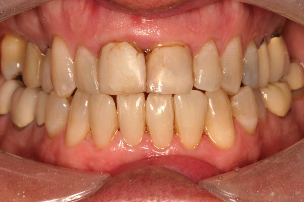
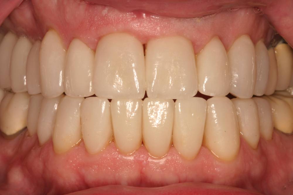
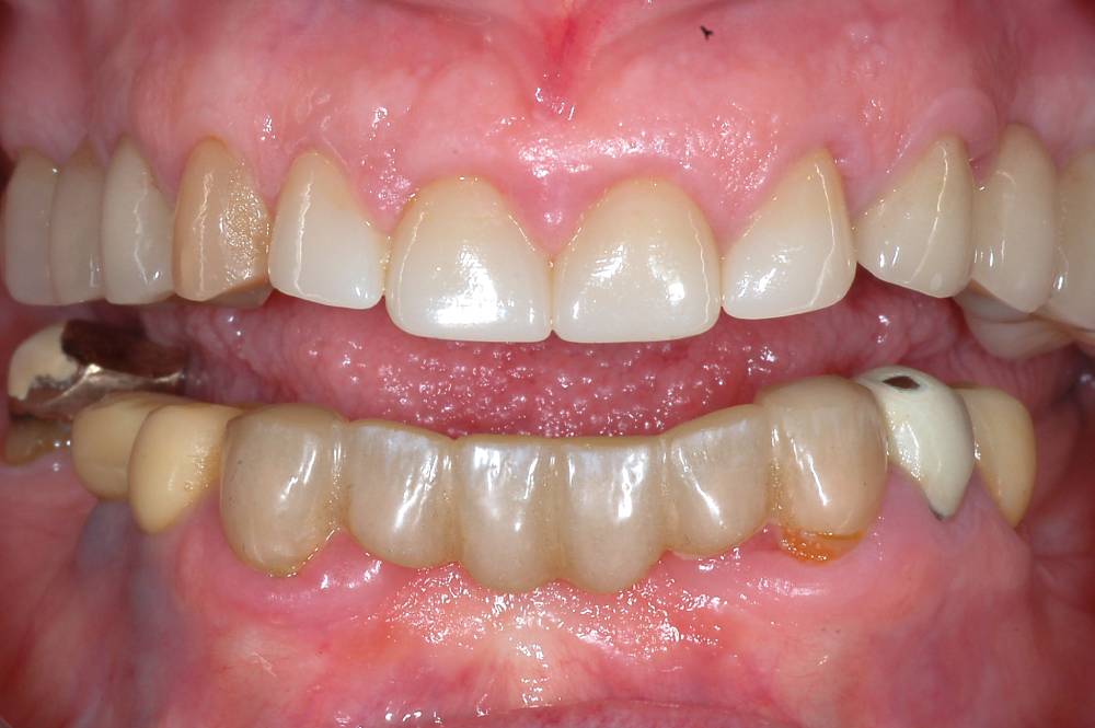
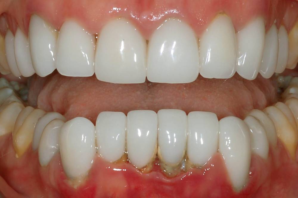
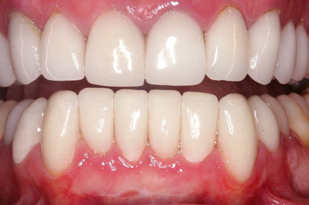
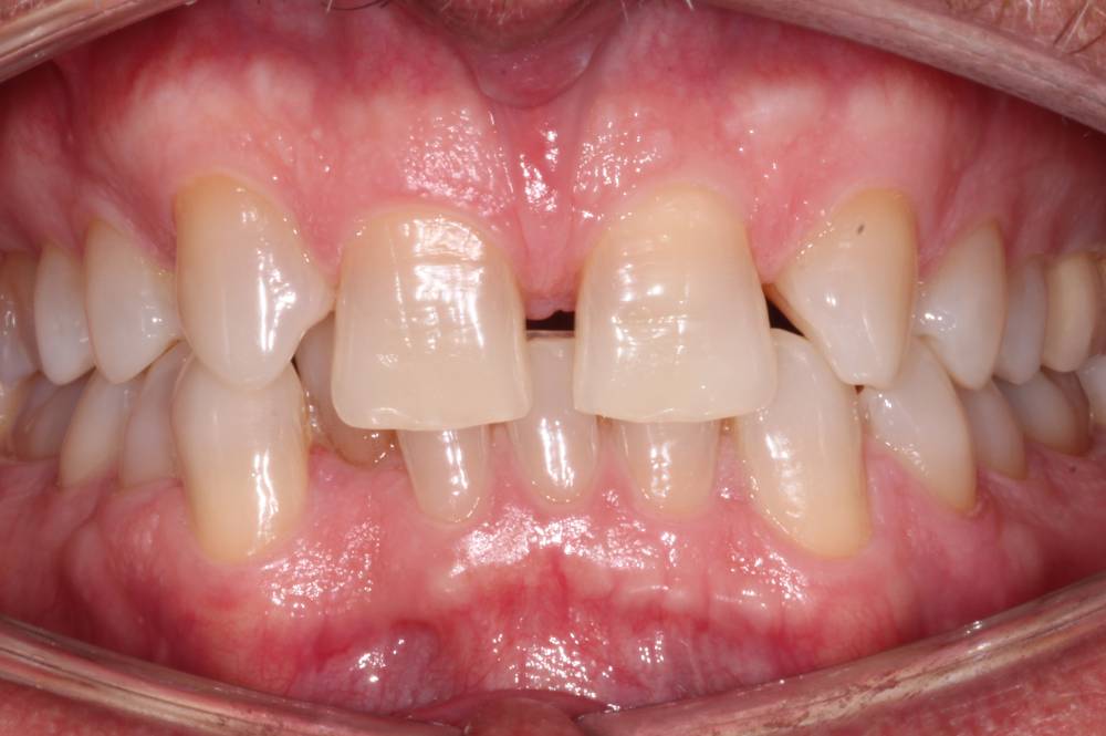
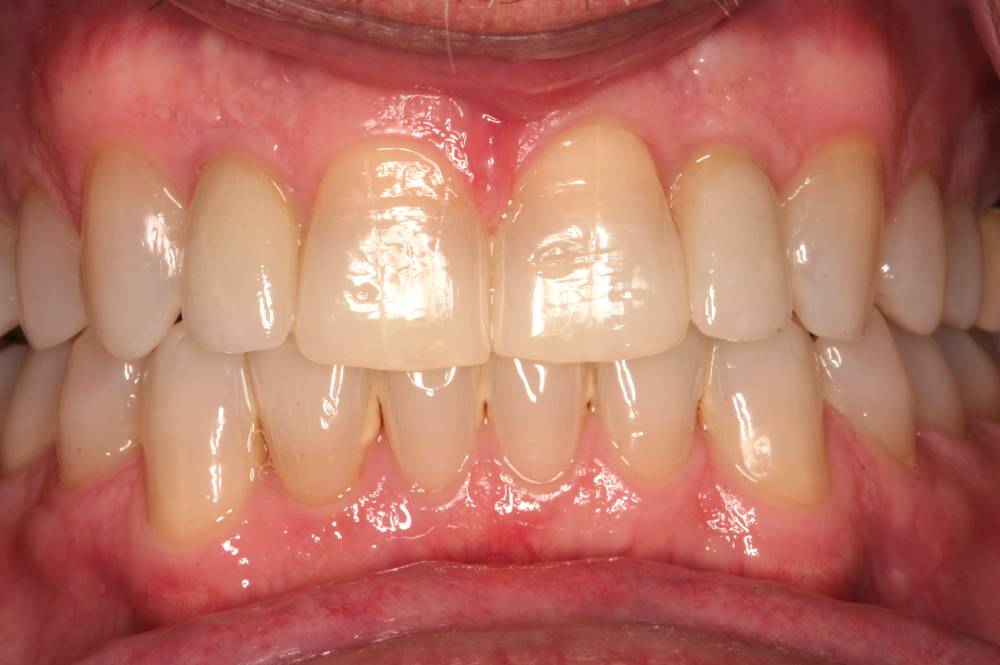
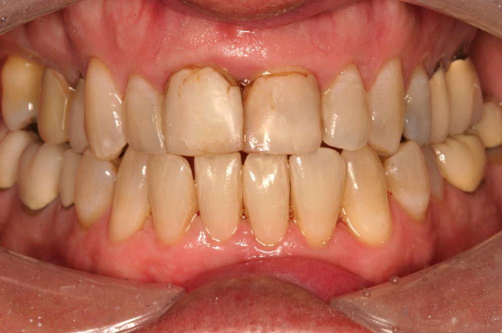
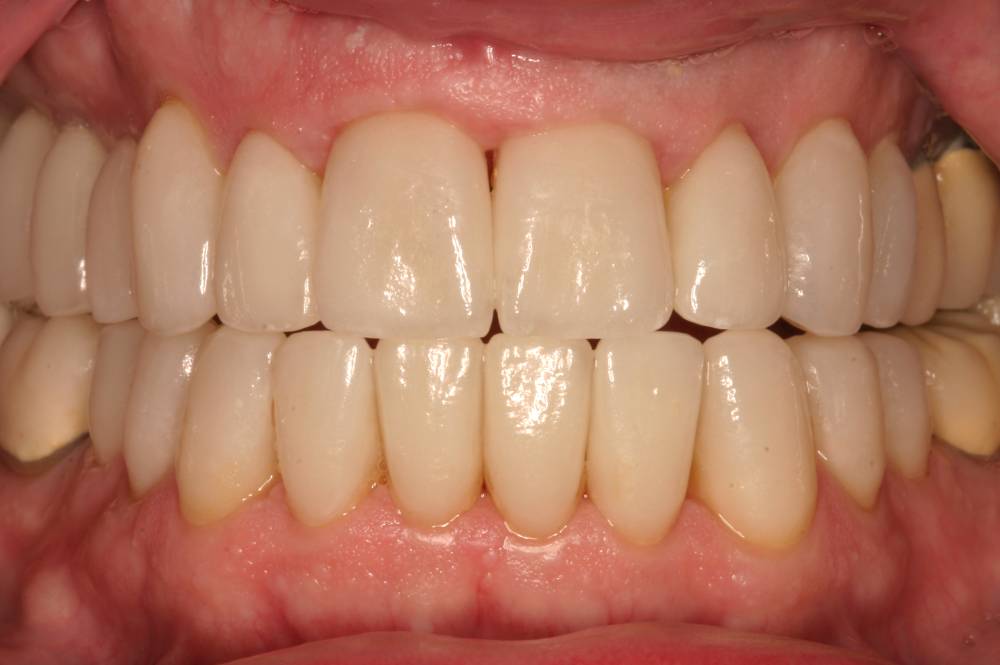
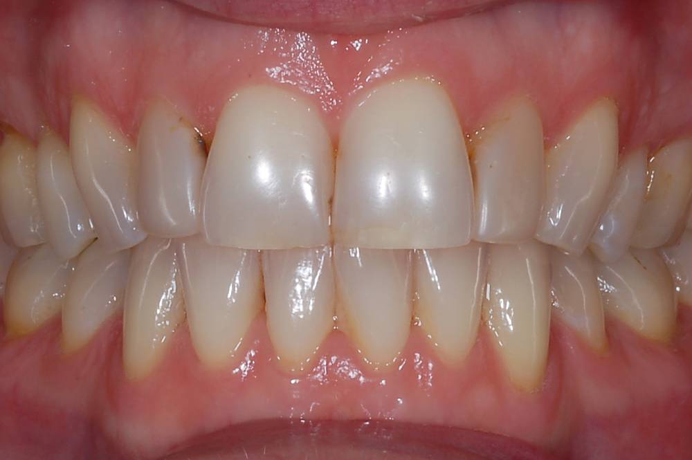
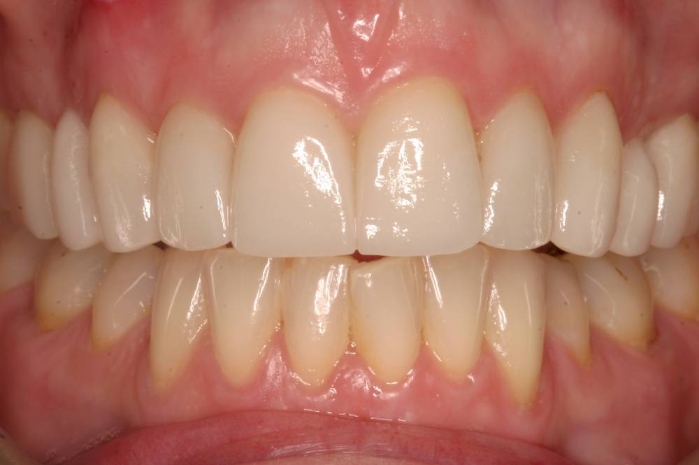
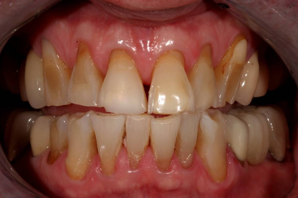
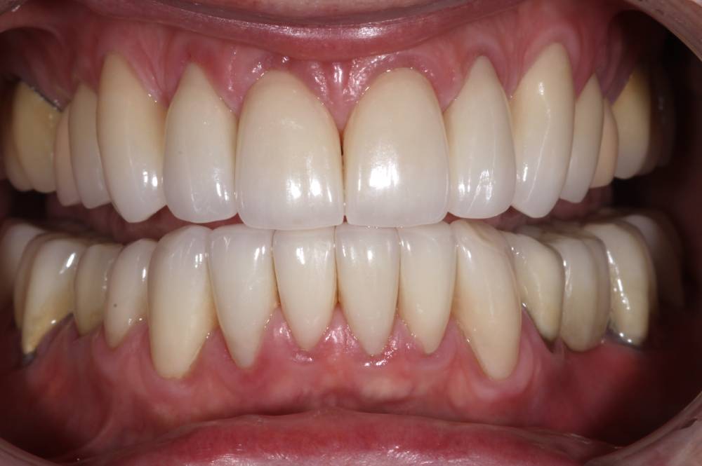
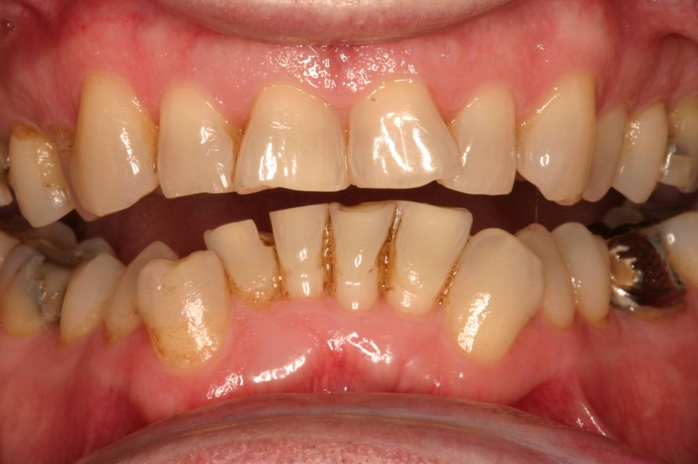
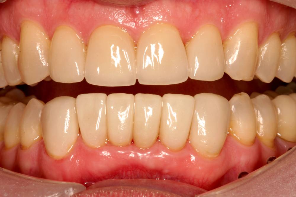
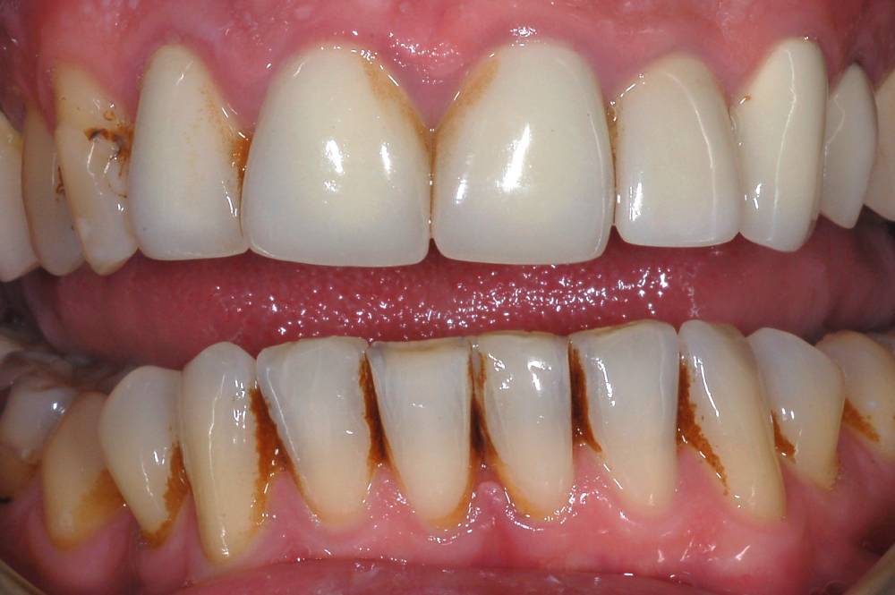
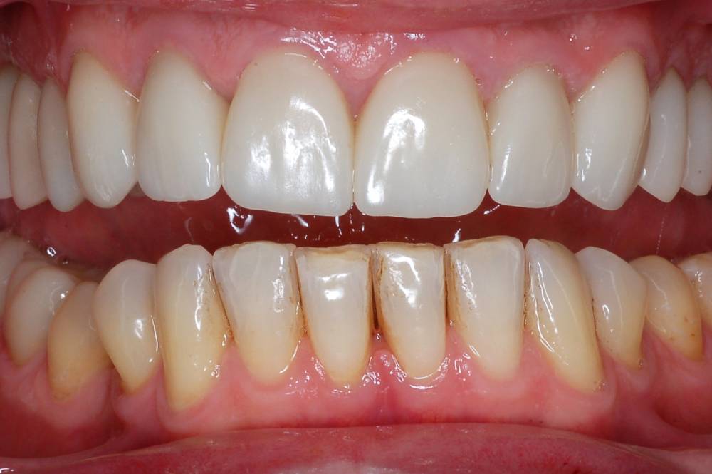
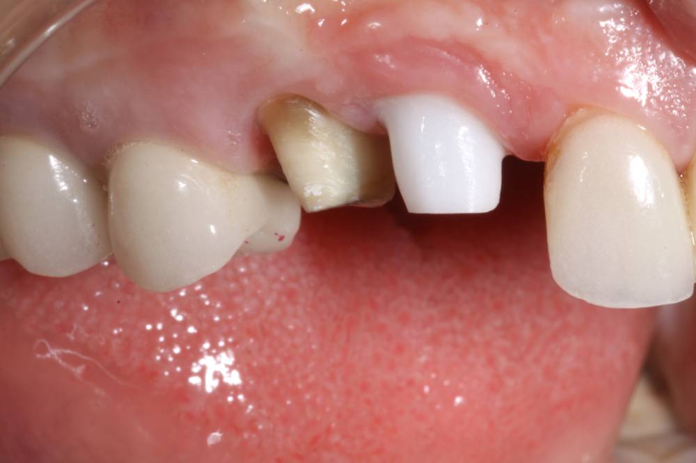
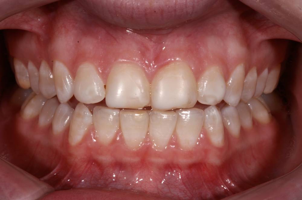
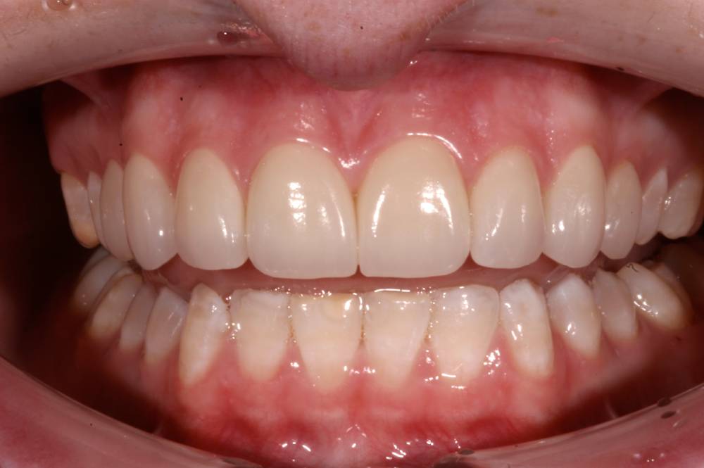
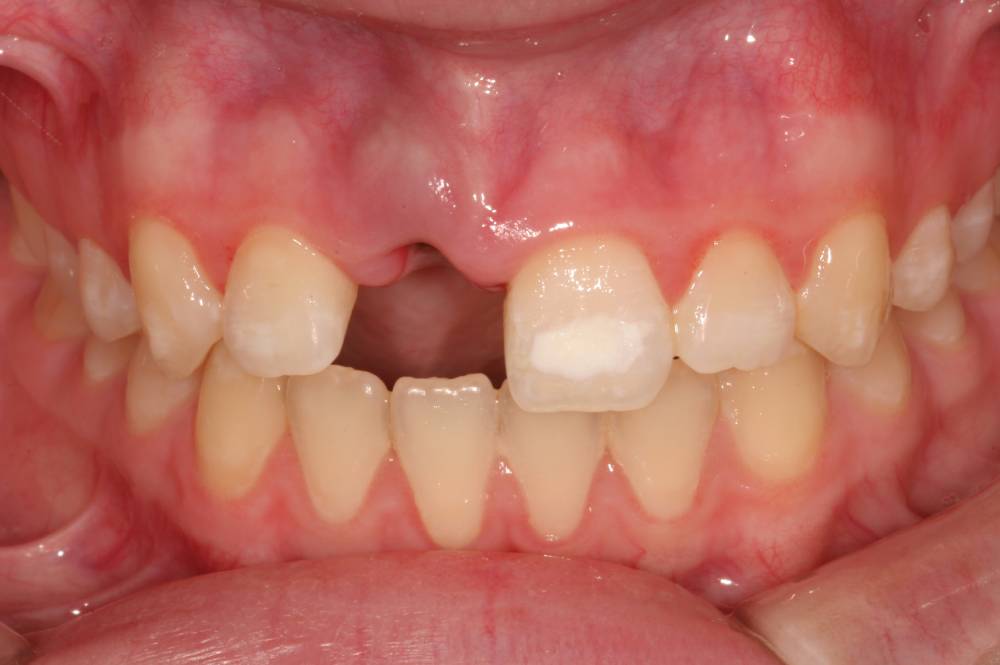
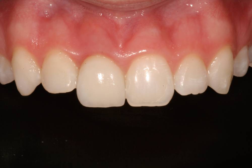
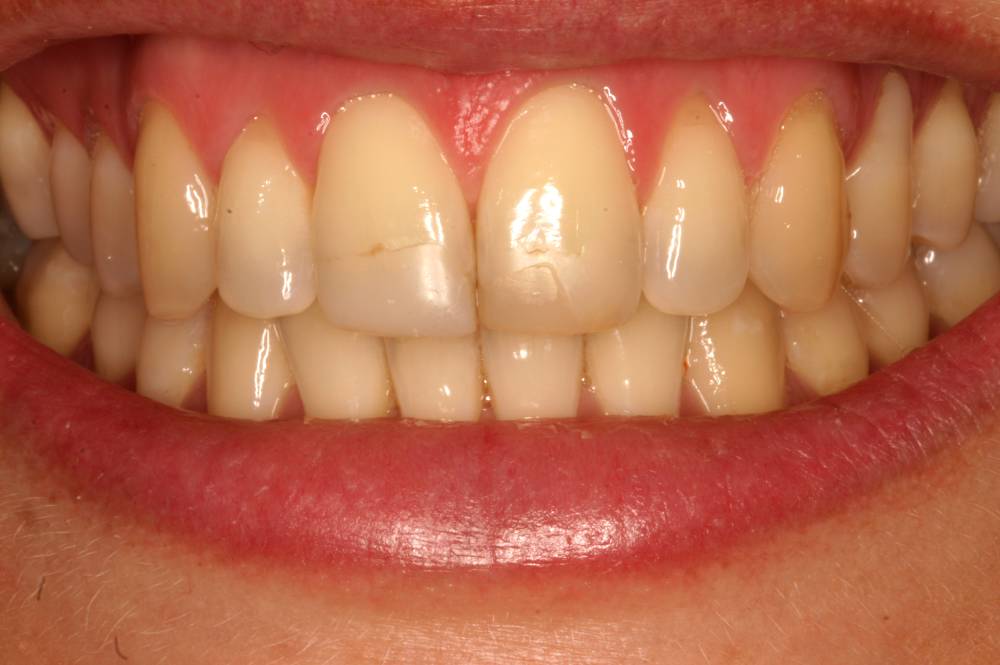
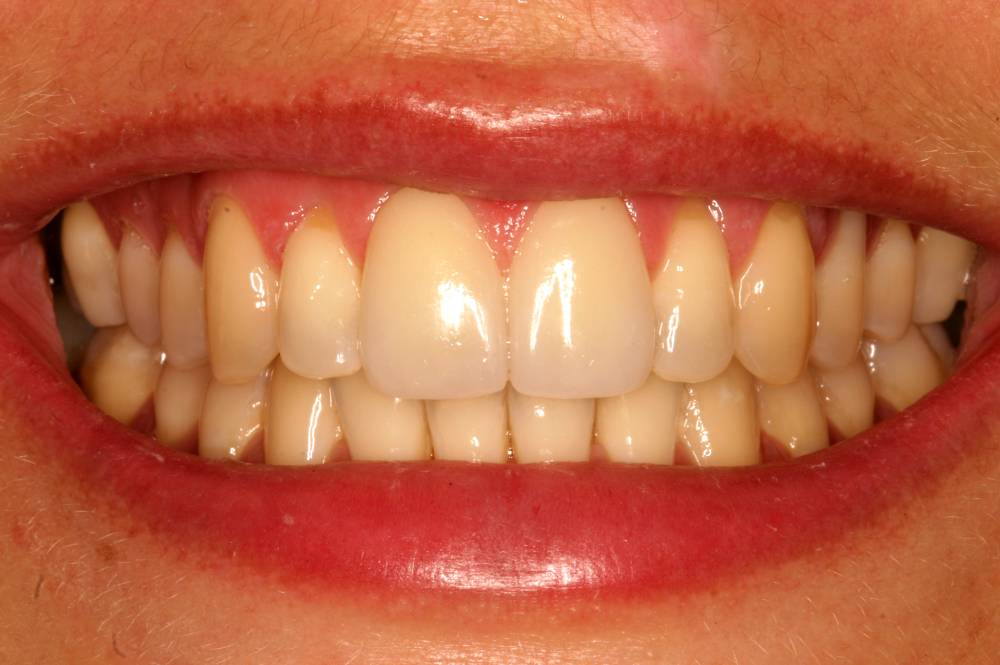
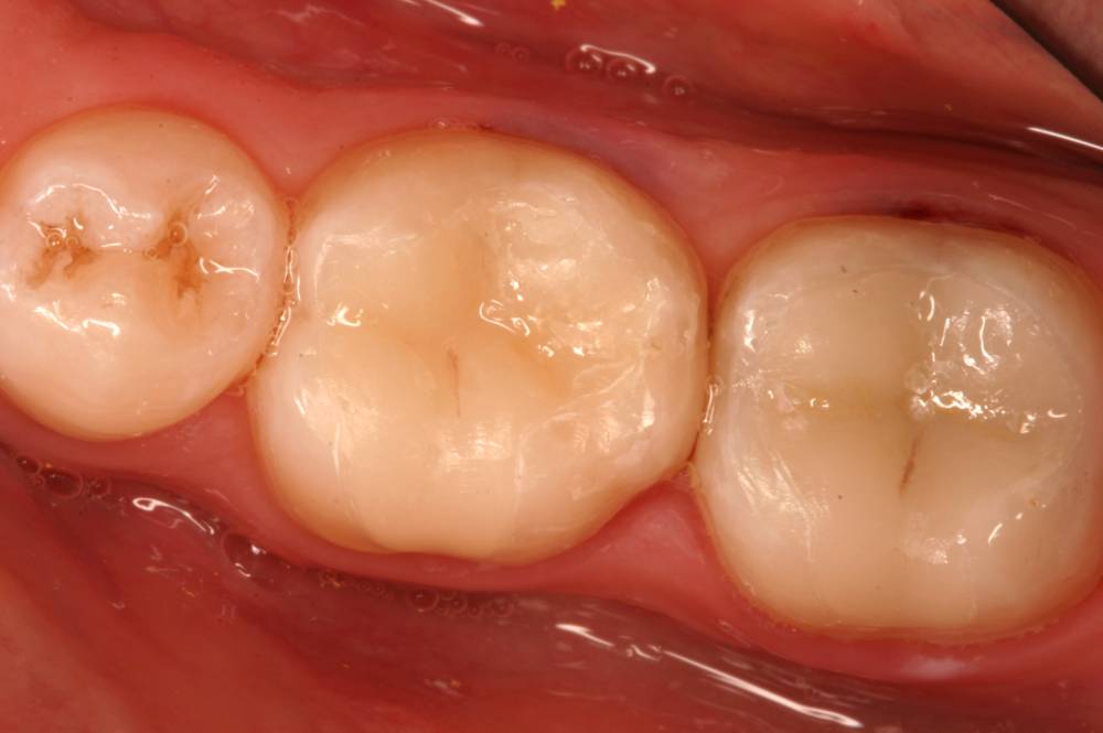
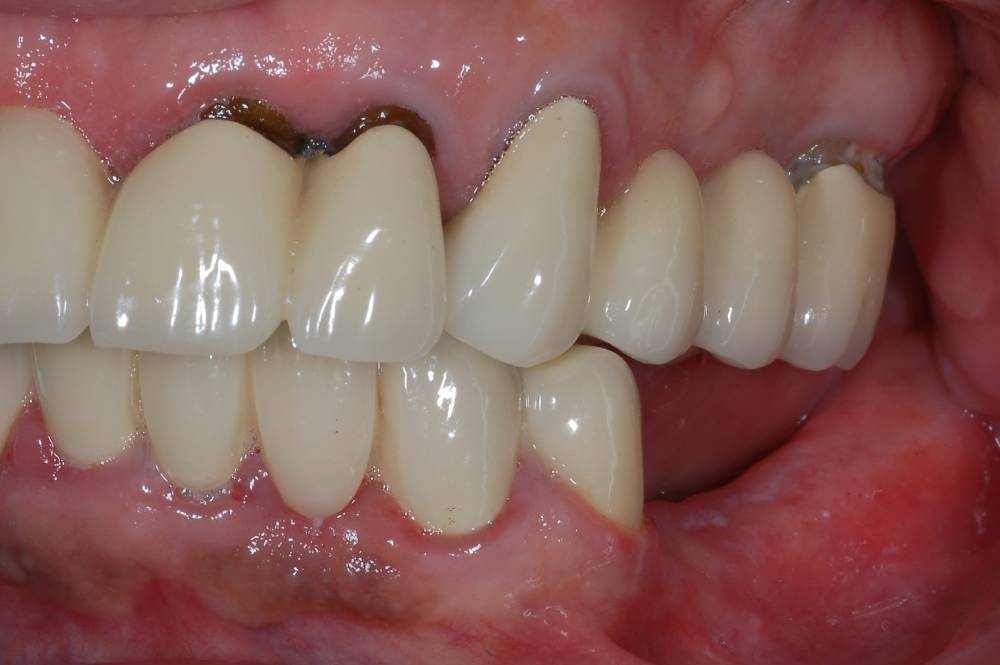
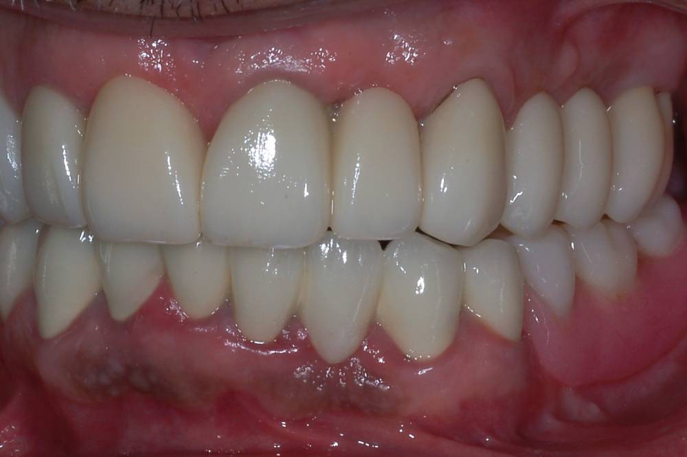
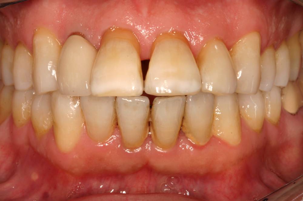
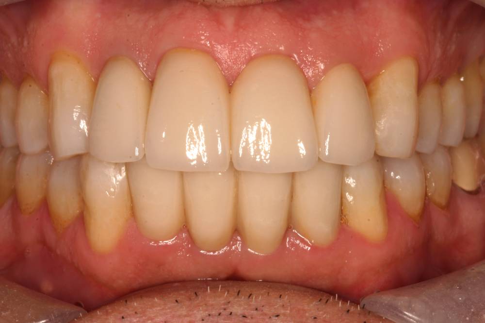
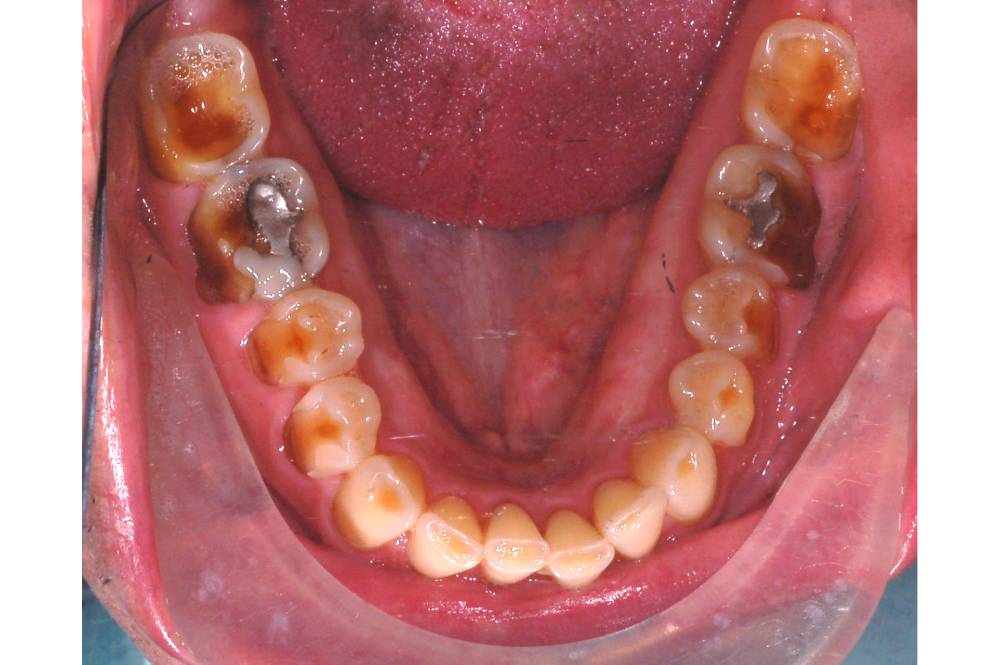
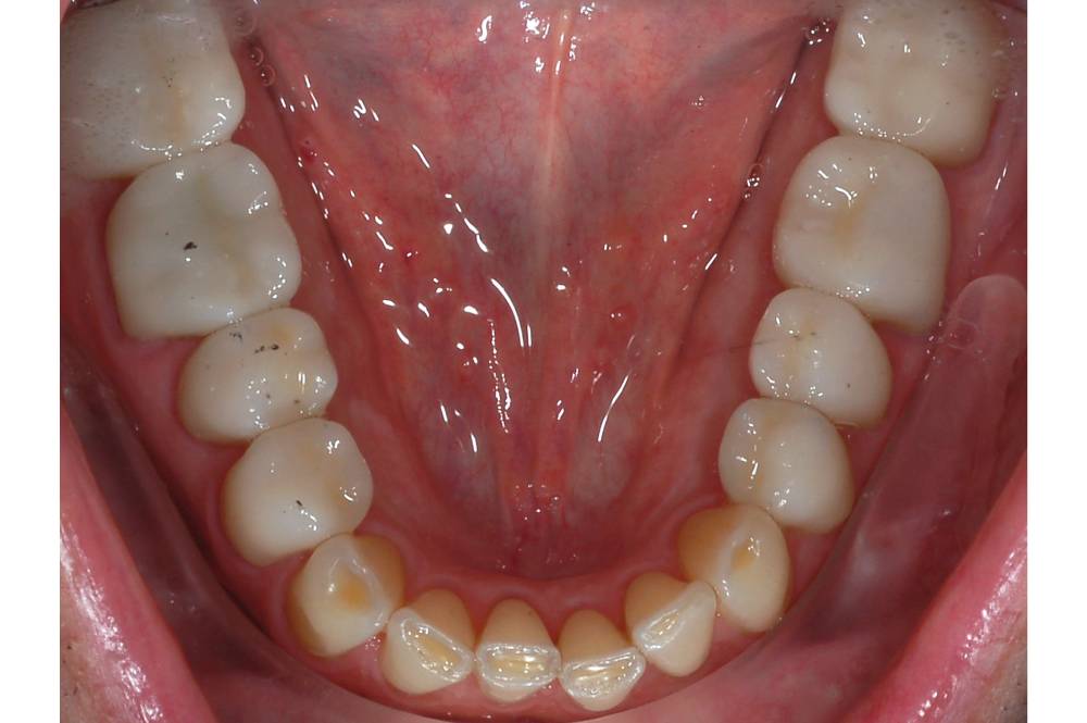
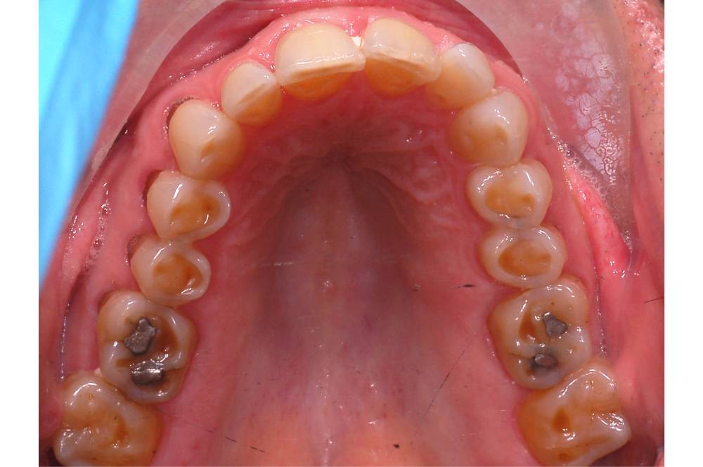
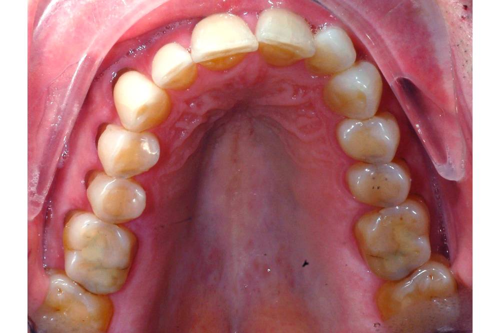
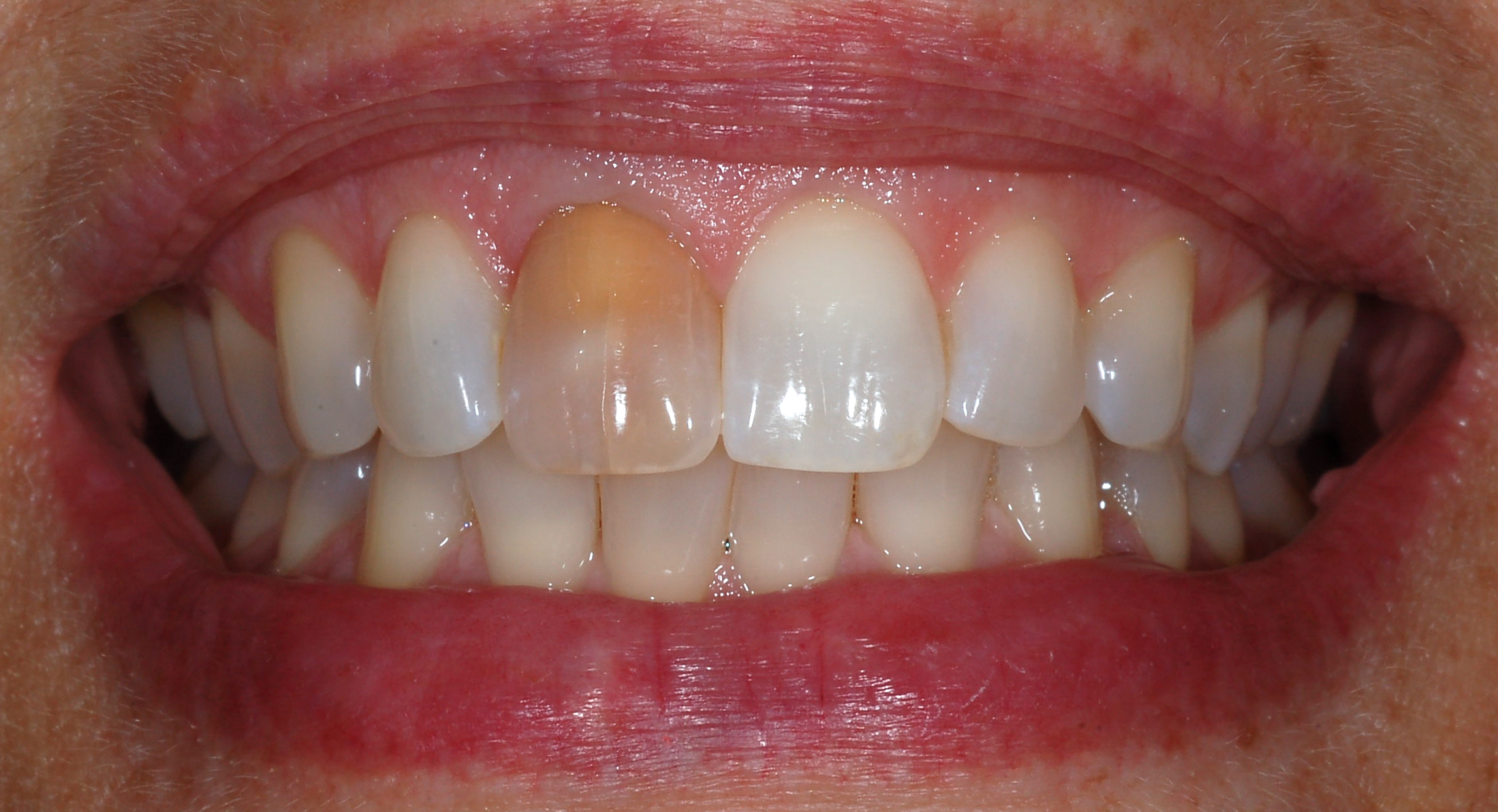
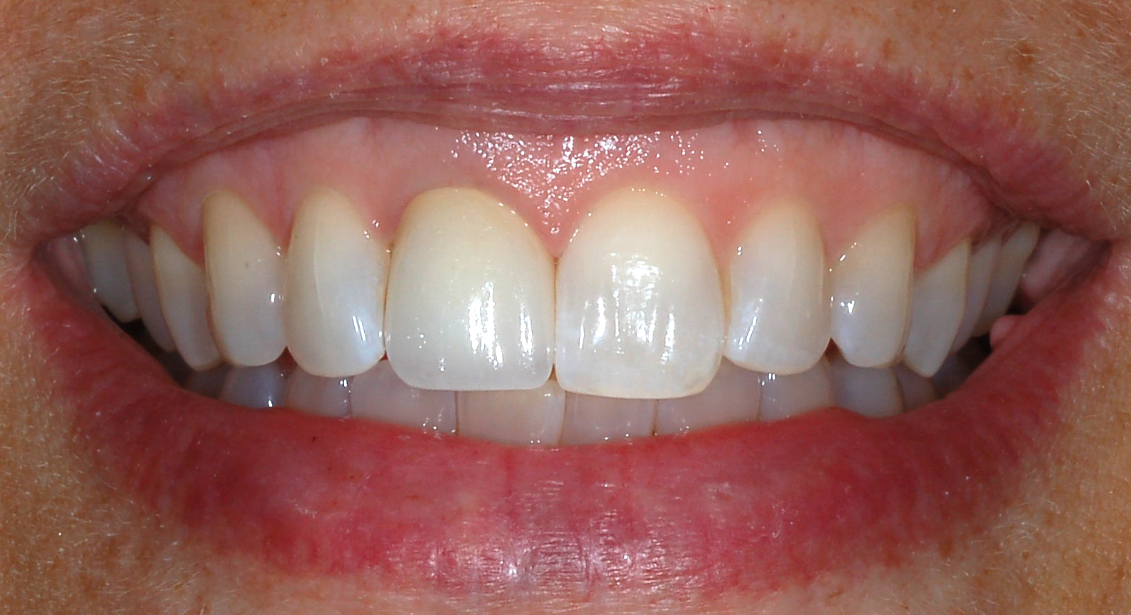
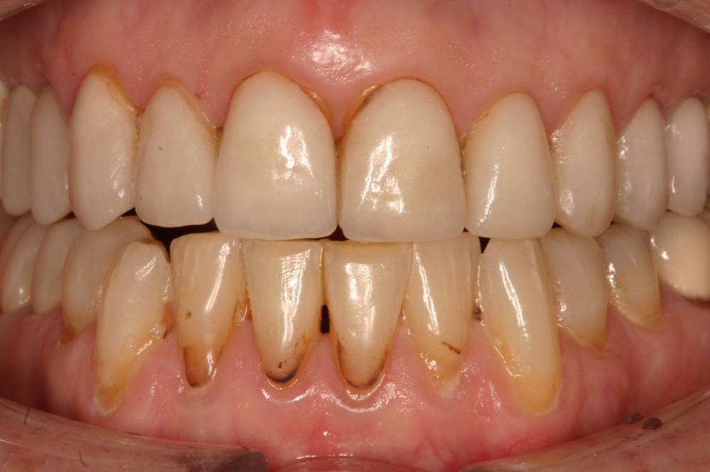
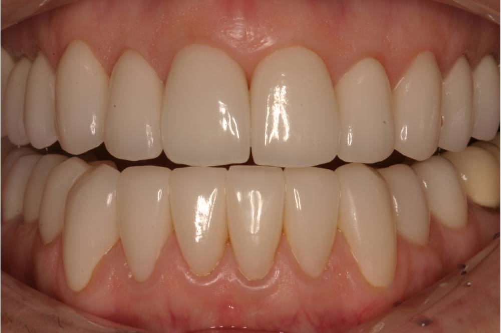
Before & After
Video Testimonials
Featured Services





















































































