Frank Orlando

Frank Orlando DDS, FAGD, FICOI
- Graduated University of Michigan School of Dentistry
- Completed a one-year General Practice Residency and two-year Specialty Prosthetics Program.
- A Faculty Club Member of the prestigious Spear Education Center in Scottsdale
He grew up in Detroit, Michigan, and pursued his college education and Dental School at the University of Michigan. After completing his studies, he participated in a one-year Advanced Education Program in Jacksonville, Florida, through the University of Florida. In 2005, he and his wife, Meghann, relocated in Manhattan to attend Columbia Business School. They happily reside on the Upper West Side with their daughter, Francesca, and their dog, Sophia.
While studying pre-med at the University of Michigan, he initially aspired to become a Surgeon. During his Junior year, he took a course called “Careers in Medicine,” where he explored various professions such as Medical Doctor, Pharmacist, Dentist, and Physical Therapist. When he delved into Dentistry, it truly resonated with him. He realized that as a Dentist, he could be a tooth surgeon, performing intricate repairs; a cosmetic surgeon, creating beautiful smile makeovers; and even a detective, diagnosing patients’ discomforts. It was the perfect blend of everything he loved.
What he cherishes most about being a Dentist is the opportunity to help his patients achieve their goals, whether that means relieving pain, replacing missing teeth, or enhancing their smiles through Invisalign or other cosmetic treatments. Seeing his patients happy is what brings him the greatest joy!
From the moment he started Dental School, he felt he had found my true calling. he absolutely loved the hands-on aspect of the work, which made the clinical environment a perfect fit for him. When he began seeing actual patients, everything clicked into place even more. He was able to combine my passion for precision with his desire to help others, creating a truly fulfilling experience. It became clear that Dentistry was the ultimate win-win profession for him, and he couldn’t be happier pursuing this path every day!
He is a perfectionist at heart, which is probably why he love every aspect of Dentistry. He genuinely enjoy solving problems, restoring smiles, and finding the most precise, conservative solutions to help his patients achieve what they want. He live by the philosophy that “less is more” — his goal is always to do the least amount of work needed to deliver the best possible results. He believe Dentistry should be thoughtful, conservative, and customized to each individual.
Our office truly represents his dream practice. We’ve built an incredible team and equipped it with the latest technology to provide exceptional care in a comfortable, welcoming environment. With guided surgery, we can perform minimally invasive dental implant procedures that offer virtually no downtime or discomfort. Our full-service, in-house lab lets us create same-day crowns and veneers with complete customization — and our talented lab technicians and master ceramists ensure every detail is just right.
What makes our practice special is the team behind it. From the front desk to the assistants, hygienists, and lab staff, everyone shares the same commitment to quality, precision, and personalized care. Together, we create an experience that’s as seamless and comfortable as possible for every patient who walks through our doors.
He grew up in Detroit, Michigan, where sports were a big part of his life — he played year-round and loved the competition and teamwork. In high school, he played varsity soccer, basketball, and baseball, which taught him discipline, focus, and how to push myself to be better every day.
He went on to attend both college and dental school at the University of Michigan, before completing a year of advanced training in Jacksonville, Florida. That year was an incredible experience — he was exposed to a wide range of complex cases, which helped him develop the skills and confidence he rely on today. He also loved living in Florida for that time, soaking up the sunshine and gaining hands-on experience in all aspects of dentistry.
In 2005, him and his wife traded the beaches for the big city and moved to New York so she could attend Columbia Business School. During his first decade in New York, he spent much of his free time playing indoor and outdoor volleyball all over the city — a great way to stay active and meet people. Around 2017, he discovered endurance sports, and since then he completed one Full Ironman, sixteen Half-Ironmans, and ten Marathons.
He always enjoyed challenging himself and doing hard things — it’s what drives him both personally and professionally. He strive to live a healthy, balanced lifestyle and love spending time traveling, staying active, and being with his family and friends. And yes — he still a proud and loyal fan of all things Detroit and, of course, the University of Michigan!
Dr. Orlando Curriculum Vitae
Education
- University of Michigan: DDS
- University of Florida, Jacksonville: Advanced Education in General Dentistry
Professional Licensure
- New York
Professional Society Memberships
- Founding Member of the American Academy of Oral Systemic Health
- American Dental Association
- New York State Dental Association
- New York County Dental Society
- Faculty Club Mentor at Spear Education
- Dental Study Club of New York
- Top3 Dentists
- Leading Physicians of the World
Publications
- Implant News and Views ”Precision Guided Dental Implant Placement (online article)”
- Women’s Health ”What to do About Sensitive Teeth” (online article)
- Healthy Input “A Healthy Mouth and Body From the Start” (author of chapter in multi-author book)
- Mommy Bites
- “Your Child’s First Dental Visit” (online article)
- “Pregnancy and Dentistry” (online article)
- The Waiting Room “Live a Longer and Healthier Life” (article in Magazine)
Professional Fellowships
• Fellow, International Congress of Oral Implantologists (FICOI)
• Fellow, Academy of General Dentistry (FAGD)
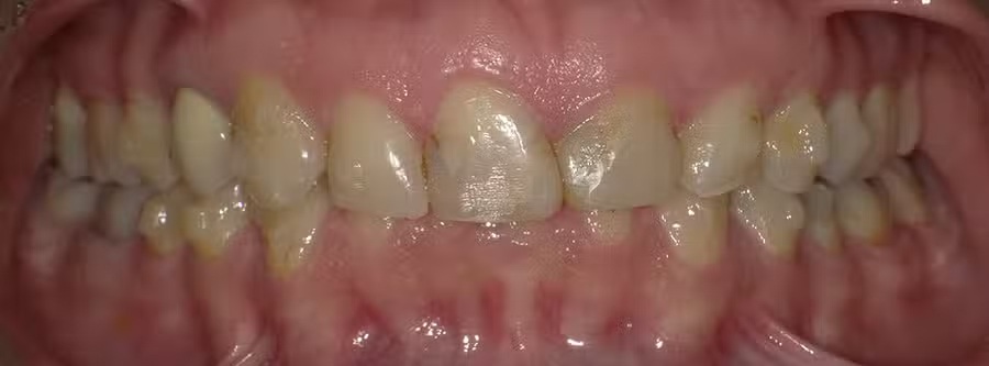
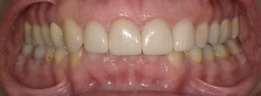
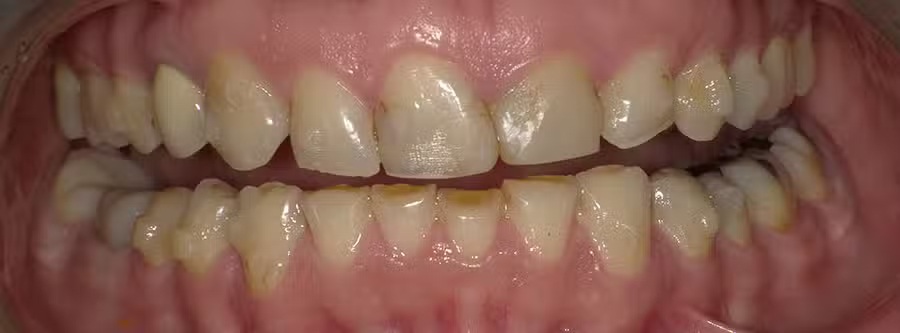
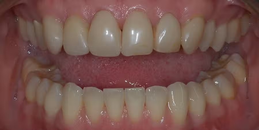
Before & After
Featured Services


















